Lưu trữ danh mục: Kiến thức nha khoa
Kiến thức nha khoa – Hành trang chăm sóc răng miệng mỗi ngày
Blog kiến thức nha khoa ra đời với sứ mệnh cung cấp thông tin chính xác, dễ hiểu về bệnh lú và cách chăm sóc răng miệng cho mọi đối tượng. Trong bối cảnh các vấn đề răng miệng ngày càng tăng và nhận thức cộng đồng còn nhiều hạn chế, trang kiến thức này đóng vai trò như một cầu nối giữa chuyên môn nha khoa và đời sống hàng ngày. Từ đó giúp mọi người hiểu đúng và hành động đúng trong việc bảo vệ răng miệng của mình.
Lợi ích khi tiếp nhận thông tin từ trang kiến thức nha khoa không chỉ dừng ở việc tiếp cận thông tin. Người dùng còn có thể tìm thấy các hướng dẫn thực tiễn về cách đánh răng đúng, chế độ ăn uống tốt cho men răng, cách nhận biết sớm dấu hiệu bệnh lý răng miệng hay quy trình điều trị các tình trạng như sâu răng, viêm nha chu, hôi miệng… Đặc biệt, nội dung được xây dựng trên nền tảng khoa học và được kiểm chứng nên người đọc yên tâm hơn khi áp dụng. Ngoài ra, blog còn chia sẻ những tiến bộ mới trong lĩnh vực nha khoa trong chẩn đoán.
Dựa trên ba tiêu chí cốt lõi “chính xác – dễ tiếp cận – nhân văn”, Blog kiến thức hướng đến mục tiêu chính xác trong từng con chữ, đảm bảo nguồn thông tin uy tín, ngôn ngữ dễ hiểu nhằm mang đến giá trị thực tế cho người đọc. Đặc biệt, tính nhân văn được thể hiện qua sự đồng hành của đội ngũ biên tập trên hành trình chăm sóc răng của mọi đối tượng.
Với sự kết hợp giữa kiến thức chuyên sâu và cách tiếp cận gần gũi,blog kiến thức nha khoa sẽ là người bạn đồng hành đáng tin cậy trên hành trình xây dựng nụ cười tự tin.
Tác hại của tẩy trắng răng cần biết trước khi thực hiện
Tác hại của tẩy trắng răng là vấn đề cần được cân nhắc kỹ lưỡng...
Th7
Có nên tẩy trắng răng không? Giải đáp từ chuyên gia nha khoa
Có nên tẩy trắng răng không là vấn đề được nhiều người đặt ra khi...
Th7
So sánh chi tiết các loại niềng răng hiện nay phổ biến nhất
Các loại niềng răng hiện nay đã phát triển đa dạng về kỹ thuật và...
Th7
Địa chỉ niềng răng Long Xuyên và những kinh nghiệm cần biết
Niềng răng Long Xuyên đang nhận được sự quan tâm từ người dân địa phương...
Th7
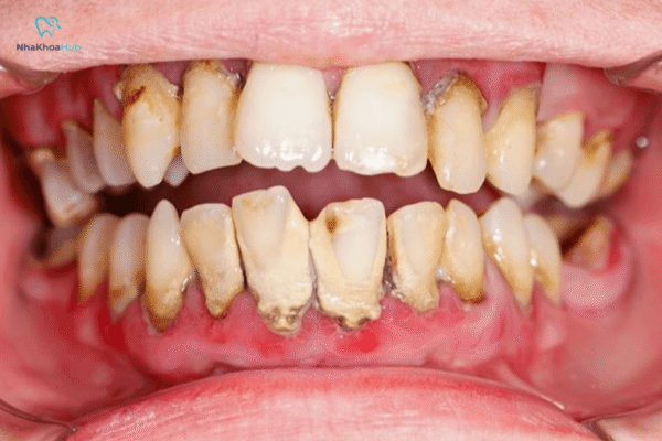
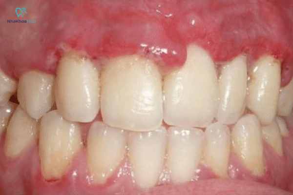
Nguyên nhân viêm nha chu, cách điều trị và cách phòng ngừa
Viêm nha chu là bệnh lý răng miệng nguy hiểm thường bị bỏ qua do...
Th7
Dấu hiệu viêm nha chu ở trẻ em và cách điều trị dứt điểm
Viêm nha chu ở trẻ em là tình trạng viêm nhiễm nghiêm trọng tại mô...
Th7
Dấu hiệu viêm nướu ở trẻ em và cách xử lý nhanh chóng
Viêm nướu ở trẻ em là một bệnh lý răng miệng khá phổ biến, đặc...
Th7
Top các loại thuốc bôi trị viêm nướu răng có hiệu quả nhanh
Thuốc bôi trị viêm nướu răng được xem là giải pháp điều trị tại chỗ...
Th7
Cảnh báo độ nghiêm trong của viêm nướu hoại tử lở loét cấp tính
Viêm nướu hoại tử lở loét cấp tính là một bệnh lý nghiêm trọng có...
Th7
Dấu hiệu viêm nướu khi mang thai và cách xử lý an toàn cho mẹ
Viêm nướu khi mang thai là tình trạng phổ biến, ảnh hưởng tới khoảng 50%...
Th7
