Viêm lợi răng (hay bị viêm nướu răng) là một bệnh lý răng miệng thường gặp ở mọi độ tuổi. Nếu không được điều trị kịp thời, bệnh tiến triển nặng khiến người bệnh bị viêm nha chu, thậm chí mất răng.

Mục lục
Bệnh viêm lợi răng là gì?
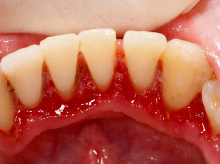
Viêm lợi răng là tình trạng viêm nhiễm ở phần lợi bao quanh chân răng. Đây là giai đoạn đầu của bệnh nha chu do vi khuẩn tích tụ trong mảng bám hoặc cao răng gây ra. Khi bị viêm, lợi răng sẽ sưng đỏ, dễ chảy máu, tiết dịch và gây khó chịu cho người bệnh.
Nguyên nhân thường gặp dẫn đến viêm lợi răng
Có nhiều nguyên nhân khiến người bệnh bị viêm lợi răng. Trong đó, nguyên nhân chủ yếu đến từ các yếu tố sau:
Vệ sinh răng miệng kém
Vệ sinh răng miệng không khoa học, đánh răng không đúng cách là nguyên nhân dẫn đến viêm lợi. Môi trường ẩm ướt, nóng ẩm cùng với lượng đường từ thức ăn tạo điều kiện lý tưởng cho hàng trăm loại vi khuẩn sinh sôi.
Suy giảm hệ miễn dịch
Khi hệ miễn dịch suy yếu, cơ thể sẽ khó chống lại vi khuẩn, làm tăng nguy cơ mắc bệnh và yếu hơn. Những người mắc bệnh tiểu đường có nguy cơ bị viêm lợi bởi đường huyết cao khiến vi khuẩn phát triển và làm giảm khả năng lành vết thương ở lợi răng.
Người nhiễm HIV/AIDS dễ mắc bệnh về lợi và nha chu do hệ miễn dịch suy yếu. Người suy giảm bạch cầu hoặc những người trải qua hóa trị cũng bị suy giảm nghiêm trọng số lượng bạch cầu khiến lợi bị viêm nhiễm. Ngay cả căng thẳng kéo dài cũng ảnh hưởng đến hệ miễn dịch, làm tăng nguy cơ viêm lợi.
Mảng bám
Mảng bám tích tụ trên bề mặt răng, không được loại bỏ kịp thời sẽ cứng lại và hình thành cao răng. Chúng sẽ tạo ra nhiều kẽ hở giúp vi khuẩn tiếp tục bám dính và phát triển mạnh mẽ.
Ngoài ra, cao răng còn đẩy lợi ra xa răng, tạo điều kiện cho vi khuẩn xâm nhập sâu hơn. Khi viêm lợi tiến triển, cao răng có thể hình thành dưới đường viền lợi, gây khó khăn hơn cho việc làm sạch và làm tình trạng viêm thêm nặng.

Hút thuốc lá
Người hút thuốc lá có nguy cơ bị viêm lợi răng rất cao. Các hóa chất độc hại trong thành phần làm suy yếu hệ miễn dịch trong khoang miệng. Nicotine làm co mạch máu, giảm lượng máu và oxy cung cấp cho các mô lợi. Khi lợi không nhận đủ dưỡng chất, khả năng tự phục hồi và chống lại nhiễm trùng yếu dần.
Một trong những dấu hiệu cảnh báo sớm của viêm lợi là chảy máu lợi khi hút thuốc. Người bệnh thường không nhận ra mức độ nghiêm trọng của vấn đề cho đến khi bệnh diễn biến nặng, gây khó khăn cho việc điều trị.
Thay đổi nội tiết tố
Trong giai đoạn mang thai thay đổi nội tiết tố khiến lưu lượng máu đến lợi tăng cao. Lợi trở nên nhạy cảm, dễ sưng và chảy máu khi tiếp xúc với mảng bám. Bên cạnh đó, sự sụt giảm estrogen ở phụ nữ trong giai đoạn tiền mãn kinh và mãn kinh có thể gây khô miệng, giảm tiết nước bọt nên lợi dễ viêm nhiễm.
Dấu hiệu nhận biết khi bị viêm lợi
Nhận biết sớm các dấu hiệu của viêm lợi răng giúp người bệnh điều trị kịp thời và tránh các biến chứng. Ngay khi xuất hiện những biểu hiện dưới đây, người bệnh nên đến ngay các nha khoa uy tín để được nha sĩ thăm khám và đưa ra lộ trình điều trị thích hợp.
– Dễ bị chảy máu lợi: Đây là dấu hiệu thường gặp khi mắc bệnh viêm lợi răng. Ngoai ra, có thể xảy ra tình trạng chảy máu lợi khi đánh răng, dùng chỉ nha khoa hoặc thậm chí là lúc ăn uống.
– Xuất hiện mảng bám ở răng: Khi lợi bị viêm, những mảng bám màu vàng hoặc nâu hình thành trên bề mặt răng gần đường viền lợi.
– Sưng tấy lợi: Lợi bị viêm sẽ sưng phồng, nhìn bằng mắt thường sẽ thấy căng bóng và che phủ một phần thân răng.
– Răng lung lay nhẹ: Trong giai đoạn này, viêm lợi sẽ ảnh hưởng đến xương hàm khiến răng lung lay.
– Tụt lợi chân răng: Viêm lợi lâu ngày dẫn đến tụt lợi làm lộ phần chân răng, gây ê buốt khi ăn đồ nóng, lạnh.
– Hơi thở có mùi hôi: Vi khuẩn tích tụ trong khoang miệng là nguyên nhân chính gây ra mùi hôi.
– Lợi có màu đỏ sẫm hoặc tím: Lợi khỏe mạnh có màu hồng nhạt. Khi bị viêm, lợi sẽ chuyển sang màu đỏ sẫm hoặc tím.

Điều trị viêm lợi răng như thế nào?
Phương pháp điều trị viêm lợi còn phụ thuộc vào tình trạng bệnh. Căn cứ vào kết quả chẩn đoán, nha sĩ sẽ đưa ra những phương pháp trị liệu thích hợp:
– Cạo vôi răng và làm sạch gốc răng: Đây là bước quan trọng trong quá trình điều trị, nha sĩ sẽ loại bỏ mảng bám, cao răng tích tụ trên bề mặt răng và dưới đường viền lợi. Trong một số trường hợp, viêm nhiễm đã lan xuống chân răng cần làm sạch gốc răng để bề mặt chân răng mịn và loại bỏ vi khuẩn.
– Nước súc miệng kháng khuẩn: Bác sĩ chuyên khoa sẽ kê toa nước súc miệng có chứa chlorhexidine hoặc các chất kháng khuẩn khác để giảm vi khuẩn trong khoang miệng và kiểm soát viêm nhiễm.
– Thuốc điều trị viêm nướu răng: Trong một số trường hợp, thuốc kháng sinh dạng uống hoặc gel bôi trực tiếp sẽ được kê toa để kiểm soát nhiễm trùng.
– Phục hình răng: Nếu có các yếu tố gây kích ứng như răng mọc lệch, răng sâu hoặc phục hình cũ không đúng khớp, nha sĩ sẽ đề xuất chỉnh sửa để loại bỏ. Từ đó giúp vệ sinh răng miệng dễ dàng hơn và giảm nguy cơ tái phát viêm.
Một số biện pháp phòng ngừa viêm lợi răng
Phòng ngừa luôn tốt hơn chữa trị trong mọi trường hợp bệnh lý và viêm lợi răng cũng không ngoại lệ. Áp dụng các biện pháp phòng ngừa khoa học giúp răng miệng khỏe mạnh, đẩy lùi các bệnh lý nha khoa.
- Nên dùng bàn chải đánh răng lông mềm và thay định kỳ 3 – 4 tháng/lần để làm sạch răng hiệu quả mà không gây tổn thương lợi.
- Hãy dùng chỉ nha khoa hoặc tăm nước để loại bỏ mảng bám cùng thức ăn thừa mà bàn chải thường không tiếp cận được.
- Thăm khám và vệ sinh răng định kỳ khoảng 6 – 12 tháng/lần tại nha khoa giúp phát hiện sớm các vấn đề về răng miệng.
- Không hút thuốc lá là cách hiệu quả nhất để cải thiện răng miệng.
- Hãy duy trì chế độ ăn uống lành mạnh, hạn chế đồ ăn hoặc thức uống có đường và tăng cường rau xanh, trái cây trong thực đơn để có được cơ thể khỏe mạnh.
- Đánh răng ít nhất 2 lần/ngày với kem đánh răng có fluoride là điều kiện cần để có hàm răng khỏe mạnh. Khi đánh răng, hãy đặt bàn chải nghiêng một góc 45º so với đường viền lợi, chải nhẹ nhàng theo chuyển động tròn hoặc rung nhẹ, đảm bảo chải sạch tất cả các mặt răng.

Viêm lợi răng là một vấn đề răng miệng thường gặp và không thể xem nhẹ. Từ những dấu hiệu nhỏ như lợi sưng đỏ, dễ chảy máu cho đến các biến chứng nghiêm trọng đều xuất phát từ sự tích tụ của vi khuẩn và mảng bám. Để phòng ngừa bệnh, hãy vệ sinh răng miệng đúng cách, dùng chỉ nha khoa, khám răng định kỳ và xây dựng lối sống lành mạnh.
Luôn trăn trở để mang đến những thông tin khách quan, thực sự có ích cho người dùng là giá trị mà tôi hướng tới.
